カテゴリー:
担当ドクター:
歯の移植
患者さんは左上の奥歯が痛くて来院されました。
虫歯が大きく残念ながら抜歯となってしまったため、親知らずの移植を計画しました。


抜歯を行い、親知らずを移植したところです。


移植した親知らずの治療を終えたところです。


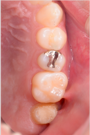
最終的な被せ物を装着したところです。


ひろた哲哉歯科はできる限り歯の保存に努めております。
ただ残念ながら虫歯が大きく抜歯に至るケースも少なからずあります。
そんな時に健康な親知らずを移植し、生かすことができる場合もあるのです。
できる限り自分の歯で一生過ごしていただくために、当院はこれからも患者さんにとって最善の治療をご提供いたします。
その他の当院での症例
咬座印象を行いしっかり吸着した入れ歯の作製←click
歯の移植←click
歯牙破折した歯のインプラント修復症例 2
歯牙破折した歯のインプラント修復症例←click
保険のプラスチックの差し歯とセラミックの違いは!?←click
精密コンポジットレジンの治療←click
マイクロスコープ治療の実際←click
Q&A
患者さんよりよくある質問について回答しております。
インプラントのQ&Aを見る←click
小児歯科のQ&Aを見る←click
予防歯科のQ&Aを見る←click
診療全般のQ&Aを見る←click
ひろた哲哉歯科からのまとめ
ひろた哲哉歯科ではみなさんのお口の中の健康を守る為、しっかりと診査診断を行ない、あなたにとって最適な治療プランを話し合い、納得の上で治療を進めてまいります。
前歯の色が気になる、奥歯の銀歯をどうにかしたい、歯を白くしたい・・・など口腔内のお悩みはありませんか?
当院ではなるべく痛くない歯科治療(無痛治療)を提供できる様に様々な工夫をおこない治療にあたります。
他院で痛い思いをしてしまった方、歯医者が怖くなかなか受診から遠ざかっている方、安心してお越しください。
最新の設備のもとで精密な治療によりあなたの口腔内のお悩みを改善するお手伝いをいたします。
ご不明な点や不安なことお悩みはお気軽にスタッフまでご相談ください。
福岡市の歯医者なら「ひろた哲哉歯科」へ


