カテゴリー:
担当ドクター:
メタルインレー(銀歯)の実態とセラミックインレー
こんにちは。歯科医師のHです。
今回は僕たちが実際どんな風に虫歯の治療をやっているかお伝えしていきます。
歯がしみる、痛いということを主訴に来られた患者さんです。

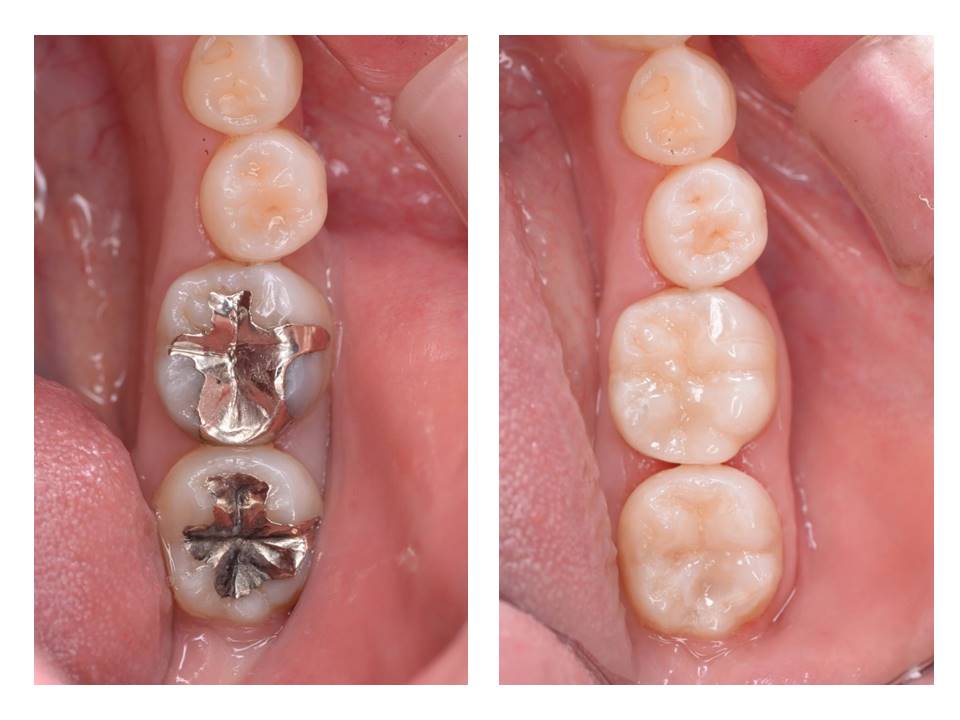
どうやら奥から2番目の歯がメタルインレーの下に虫歯がありそうです。虫歯が透けて見えていますね。
メタルインレーは使っていくうちに歯との段差が生じ、そこから虫歯の菌が入り込む可能性が非常に高いので注意が必要です。
実際にレントゲン写真で虫歯の深さを確認してみました。

虫歯が神経近くまで達してしまっています。これ以上虫歯が進行するとC3になり神経を取り除く治療になりそうです。
早急にインレーを除去し、虫歯を取り除くことが必要であると診断しました。

メタルインレーは虫歯のリスクが高いことをご説明した後、患者さんのご希望により一番奥の歯のメタルインレーも除去しています。奥から2番目の歯は残念ながら虫歯が進行し、かなり歯が溶かされている状態です。

健全な歯は削らずに、虫歯のみを慎重に取り除いた後の写真です。
奥から2番目は虫歯を取り除くと神経まで行く寸前の状態でしたので覆髄という術式を用いて、神経を保護しました。

セラミックインレーの形成です。セラミックインレーが割れにくく、歯としっかりフィットするようなデザインに仕上げています。

セラミックインレーセット後です。メタルインレーと違い化学的接着により、歯とより緊密に適合させています。またラバーダムを用いて唾液をしっかり排除し完全に防湿することで、無菌的な状態でセットしています。

セット前にしっかり元の歯の色を測定した上で作製しておりますので仕上がりも非常に綺麗です。

セット後の比較写真です。
患者さんもすごい喜んでいただけましたし、こんなにいい仕事をさせていただいて私たちも幸せです。
これからも患者さんに喜ばれる最善の治療をさせていただきます。
今後とも宜しくお願いします。
その他の当院での症例
保険のプラスチックの差し歯とセラミックの違いは!?←click
精密コンポジットレジンの治療←click
マイクロスコープ治療の実際←click
Q&A審美歯科についてよくある質問にお答えします
審美歯科についてのQ&A←click
ずいぶん前に入れた銀歯や差し歯、黒ずみなどは気になりませんか?
当院では銀歯を天然歯と変わらない見た目の白い歯(セラミック)を入れることができます。
ご興味のある方は福岡市南区老司の歯医者「ひろた哲哉歯科」までお問い合わせ下さい。


