カテゴリー:
担当ドクター:
歯ぐきが腫れる原因はなに?
歯ぐきが腫れる原因はなに?

歯ぐきが腫れて困ったことはありませんか?赤くなったり痛んだりすると生活に支障が出て大変ですよね。今回は、歯ぐきが腫れる主な原因をお話していきます。
【歯周病】

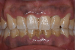
血や膿が出る原因の多くは歯周病です。
健康な歯ぐきは、ピンク色でしっかりと歯に密着していますが、
歯磨きが上手くできていないとプラーク(細菌の塊)が形成され、
細菌によって歯ぐきが炎症を起こし歯肉炎になります。歯肉炎を放置しておくと、歯周炎を発症します。
歯周炎(歯周病・歯槽膿漏)とは最近が歯ぐきの奥まで入り込み炎症を起こしている状態です。
歯ぐきがブヨブヨとして出血や膿が出たり、歯がグラグラしたり、口臭が強くなったりします。
進行が進むにつれて骨が破壊され無くなってしまうので早めの治療が必要です。
《治療法》
・歯磨き
プラークは歯ブラシで除去することができます。正しい歯磨きができているかは歯医者さんで確認してもらいマスターしましょう。
・歯石取り
歯石は歯ブラシでは取れません。歯医者さんで機械を使用し除去してもらいましょう。
プラークや歯石を放置していると歯周病を悪化させる原因になります。早めの治療がオススメです。
健康な歯ぐきは、ピンク色でしっかりと歯に密着していますが、
歯磨きが上手くできていないとプラーク(細菌の塊)が形成され、
細菌によって歯ぐきが炎症を起こし歯肉炎になります。歯肉炎を放置しておくと、歯周炎を発症します。
歯周炎(歯周病・歯槽膿漏)とは最近が歯ぐきの奥まで入り込み炎症を起こしている状態です。
歯ぐきがブヨブヨとして出血や膿が出たり、歯がグラグラしたり、口臭が強くなったりします。
進行が進むにつれて骨が破壊され無くなってしまうので早めの治療が必要です。
《治療法》
・歯磨き
プラークは歯ブラシで除去することができます。正しい歯磨きができているかは歯医者さんで確認してもらいマスターしましょう。
・歯石取り
歯石は歯ブラシでは取れません。歯医者さんで機械を使用し除去してもらいましょう。
プラークや歯石を放置していると歯周病を悪化させる原因になります。早めの治療がオススメです。
【親知らず】

親知らずは顎の1番奥に生えてくる歯です。スペースが少ない方は真っ直ぐに生えてこず、傾斜していたり真横に生えていることがあります。
真っ直ぐに生えてきていないと、手前の歯を押して手前の歯まで虫歯になってしまったり、
手前の歯との間に隙間ができてお手入れが難しく汚れが溜まったりします。そのため歯ぐきに炎症が起き歯周病にもなりやすいです。
疲れてるときや体調が優れないときは免疫力も低下しているので痛みや炎症が出やすくなります。
《治療法》
・腫れている歯ぐきの中をお掃除して、歯ぐきの中に抗生剤を入れ炎症を抑えます
・投薬
痛み止めや抗生物質を服用し炎症を抑えます
・抜歯
1度炎症を起こしてしまうと免疫力が低下しているときに繰り返し痛みが出てきてしまいます。
その時は他の歯を守る為にも感染源の親知らずの抜歯をお勧めします。
※痛みが強いときには麻酔が効きにくかったり抜いた後、腫れやすくなりますので抜歯は出来かねます。
その場合は洗浄して抗生剤を入れてもらったり、薬を服用して炎症が落ち着いてから抜歯をしてもらいましょう。
真っ直ぐに生えてきていないと、手前の歯を押して手前の歯まで虫歯になってしまったり、
手前の歯との間に隙間ができてお手入れが難しく汚れが溜まったりします。そのため歯ぐきに炎症が起き歯周病にもなりやすいです。
疲れてるときや体調が優れないときは免疫力も低下しているので痛みや炎症が出やすくなります。
《治療法》
・腫れている歯ぐきの中をお掃除して、歯ぐきの中に抗生剤を入れ炎症を抑えます
・投薬
痛み止めや抗生物質を服用し炎症を抑えます
・抜歯
1度炎症を起こしてしまうと免疫力が低下しているときに繰り返し痛みが出てきてしまいます。
その時は他の歯を守る為にも感染源の親知らずの抜歯をお勧めします。
※痛みが強いときには麻酔が効きにくかったり抜いた後、腫れやすくなりますので抜歯は出来かねます。
その場合は洗浄して抗生剤を入れてもらったり、薬を服用して炎症が落ち着いてから抜歯をしてもらいましょう。
【根尖性歯周炎】

虫歯になった歯や、以前神経を取った歯に細菌が感染すると歯の根っこの先に膿を作ることがあります。この状態を根尖性歯周炎といいます。
膿が広がると歯ぐきや顎が腫れたり、歯ぐきにニキビのようなできものを作ったりすることがあります。
《治療法》
・感染根管治療
感染源となっている細菌や感染した組織を取り除く根っこの治療 金属製の器具や薬剤を使用して歯の根っこを綺麗にしていくのですが、
歯の根っこは十人十色で複雑な構造をしており、器具が到達しない場合などもありとても難しい治療となっています。
また治療後、最終的に治癒にいたるには患者さんご自身の免疫力・抵抗力の強さも重要な要件となっています。
膿が広がると歯ぐきや顎が腫れたり、歯ぐきにニキビのようなできものを作ったりすることがあります。
《治療法》
・感染根管治療
感染源となっている細菌や感染した組織を取り除く根っこの治療 金属製の器具や薬剤を使用して歯の根っこを綺麗にしていくのですが、
歯の根っこは十人十色で複雑な構造をしており、器具が到達しない場合などもありとても難しい治療となっています。
また治療後、最終的に治癒にいたるには患者さんご自身の免疫力・抵抗力の強さも重要な要件となっています。


