カテゴリー:
メタルインレーの実態とセラミックインレー
こんにちは。歯科医師のHです。
今回は僕たちが実際おこなっている虫歯治療をお伝えしていきます。
「歯がしみる、痛い」という主訴で来院された患者さんです。

どうやら、奥から2番目のメタルインレー(銀歯)の下が虫歯になっているようです。よく見ると虫歯が透けて見えていますね。
メタルインレー(銀歯)は使っていくうちに歯と段差が生じ、そこから虫歯の菌が入り込む可能性が非常に高く注意が必要です。
実際にレントゲン写真を撮り虫歯の深さの確認をしました。

虫歯が神経近くまで達してしまっています。これ以上虫歯が進行するとC3になり神経を取り除く治療になりそうです。
早速、メタルインレーを除去し、虫歯を取り除く必要があると診断しました。

メタルインレーは虫歯のリスクが高いことをご説明した後、患者さんのご希望により一番奥の歯のメタルインレーの除去もおこないました。奥から2番目の歯は残念ながら虫歯が進行し、かなり歯が溶かされている状態です。

健全な歯は削らず、虫歯のみを慎重に丁寧に取り除いた後の写真です。
奥から2番目は虫歯を取り除くと神経まで行く寸前の状態でしたので覆髄という術式を用いて、神経を保護しました。

セラミックインレーの形成です。セラミックインレーが割れにくく、歯としっかりフィットするようなデザインに仕上げています。

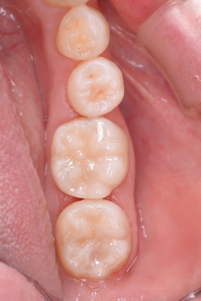
セラミックインレーセット後です。メタルインレーと違い化学的な接着をおこなうため、歯とより緊密に適合させています。またラバーダムを用いて唾液をしっかり排除し完全に防湿することで、無菌的な状態でセットしています。

セット前にしっかり元の歯の色を測定した上で作製しておりますので仕上がりも非常に綺麗です。


セット後の比較写真です。
患者さんもすごい喜んでいただけましたし、こんなにいい仕事をさせていただいて私たちも幸せです。
これからも患者さんに喜ばれる最善の治療をさせていただきます。
今後とも宜しくお願いします。
福岡市南区老司の歯医者 ひろた哲哉歯科


