カテゴリー:
担当ドクター:
かみ合わせむし歯治療
親知らずの痛みの原因は虫歯?!
親知らずの痛みの原因

親知らずのことでお困りの方はいらっしゃいませんか?
今回は親知らずについてお話ししていきます。
*虫歯
親知らずが生えていると、歯磨きがしづらくなり虫歯が発症しやすくなります。
親知らずは一番奥に生えてくるので磨きにくいものです。
それが斜めに生えていたり、半分歯ぐきの中に埋まっていたりすると
なお汚れが溜まりご自身で管理しづらくなります。
その為、親知らずや隣の歯が虫歯になりやすいです。
*歯周病や智歯周囲炎
こちらも歯磨きがしづらくなることから発症しやすくなります。
智歯周囲炎は、親知らず周辺の歯ぐきが雑菌繁殖して起こる炎症です。
歯が痛むというよりも、歯ぐきが痛む・アゴ全体が痛むという特徴があります。
*顎骨骨膜炎
虫歯菌等がアゴの骨に感染することで起こる感染症です。
アゴを中心に顔全体が腫れ、鼓動に合わせてズキズキと痛む特徴があります。
リンパにも感染するとリンパ節が腫れることもあります。
今回は親知らずについてお話ししていきます。
*虫歯
親知らずが生えていると、歯磨きがしづらくなり虫歯が発症しやすくなります。
親知らずは一番奥に生えてくるので磨きにくいものです。
それが斜めに生えていたり、半分歯ぐきの中に埋まっていたりすると
なお汚れが溜まりご自身で管理しづらくなります。
その為、親知らずや隣の歯が虫歯になりやすいです。
*歯周病や智歯周囲炎
こちらも歯磨きがしづらくなることから発症しやすくなります。
智歯周囲炎は、親知らず周辺の歯ぐきが雑菌繁殖して起こる炎症です。
歯が痛むというよりも、歯ぐきが痛む・アゴ全体が痛むという特徴があります。
*顎骨骨膜炎
虫歯菌等がアゴの骨に感染することで起こる感染症です。
アゴを中心に顔全体が腫れ、鼓動に合わせてズキズキと痛む特徴があります。
リンパにも感染するとリンパ節が腫れることもあります。
親知らず放置したときのリスク

*虫歯や歯周病になりやすい
親知らずは1番奥に生えてきます。
ですので歯ブラシが届きにくく汚れが溜まりやすくなります。
半分だけ生えてたり斜めに生えてきてる場合は特に磨きづらく
虫歯や歯周病の原因となってしまいます。
*体調が良くない時に痛みやすい
疲れや熱、ストレスなどが溜まっているときは免疫力も低下するため、
痛みや腫れが生じやすくなります。 また、妊娠中もホルモンバランスが乱れ
口腔内のトラブルが起こりやすい状況になってしまいます。
*歯並びが悪くなる
親知らずが横向きに生えてきてる場合は、手前の歯を押しているケースがほとんどです。
手前の歯が押され、だんだん歯並びが悪くなっていきます。
また、噛み合わせも悪くなり顎関節症などに繋がってしまうケースもあります。
*手前の歯に影響
親知らずが手前の歯を押してる場合は手前の歯まで虫歯になりやすくなります。
ひどいときには手前の歯まで歯根吸収し、抜歯になってしまうケースも残念ながらあります。
親知らずは1番奥に生えてきます。
ですので歯ブラシが届きにくく汚れが溜まりやすくなります。
半分だけ生えてたり斜めに生えてきてる場合は特に磨きづらく
虫歯や歯周病の原因となってしまいます。
*体調が良くない時に痛みやすい
疲れや熱、ストレスなどが溜まっているときは免疫力も低下するため、
痛みや腫れが生じやすくなります。 また、妊娠中もホルモンバランスが乱れ
口腔内のトラブルが起こりやすい状況になってしまいます。
*歯並びが悪くなる
親知らずが横向きに生えてきてる場合は、手前の歯を押しているケースがほとんどです。
手前の歯が押され、だんだん歯並びが悪くなっていきます。
また、噛み合わせも悪くなり顎関節症などに繋がってしまうケースもあります。
*手前の歯に影響
親知らずが手前の歯を押してる場合は手前の歯まで虫歯になりやすくなります。
ひどいときには手前の歯まで歯根吸収し、抜歯になってしまうケースも残念ながらあります。
治療法

上の親知らずでまっすぐ生えている場合は抜くことは比較的容易なことが多く、痛みや腫れも少ないことが多いです。しかし、虫歯が大きかったり歯茎の中に埋まっていたりすると、つかんだり引っ掛けにくくなり、抜歯が難しいこともあります。
下の親知らずは上の親知らずに比べると、まっすぐ生えてくることが少なく上の親知らずに比べると抜歯は大変です。真横に向いて埋まっているものは特に困難になります。抜歯の手順としては、歯茎を切開して開き、顎の骨を削り、歯を割って小さくして取り出します。抜歯後は縫う必要があります。
抜歯後は痛みや腫れがでることがあります。痛みは麻酔が切れると現れ、翌日からは徐々に痛ひいていきます。腫れは2,3日後に出るといわれその後1週間ほどかけて引いていきます。まれに内出血のあざが頬にでる場合がありますが1週間ほどで消えていきます。
また下顎の中には口周りの神経が走っており親知らずが神経に近い場合は神経を圧迫したり損傷してしまうリスクがあります。損傷してしまった場合は、唇付近にマヒが出て回復までに数ヶ月から数年かかることもあります。
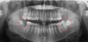
そのため抜歯前にはレントゲンや歯科用CTを撮影し、当院において抜歯が可能か判断させていただいています。抜歯が難しい場合やリスクが大きい場合は近くの大きい病院へ紹介させていただく場合もあります
下の親知らずは上の親知らずに比べると、まっすぐ生えてくることが少なく上の親知らずに比べると抜歯は大変です。真横に向いて埋まっているものは特に困難になります。抜歯の手順としては、歯茎を切開して開き、顎の骨を削り、歯を割って小さくして取り出します。抜歯後は縫う必要があります。
抜歯後は痛みや腫れがでることがあります。痛みは麻酔が切れると現れ、翌日からは徐々に痛ひいていきます。腫れは2,3日後に出るといわれその後1週間ほどかけて引いていきます。まれに内出血のあざが頬にでる場合がありますが1週間ほどで消えていきます。
また下顎の中には口周りの神経が走っており親知らずが神経に近い場合は神経を圧迫したり損傷してしまうリスクがあります。損傷してしまった場合は、唇付近にマヒが出て回復までに数ヶ月から数年かかることもあります。
そのため抜歯前にはレントゲンや歯科用CTを撮影し、当院において抜歯が可能か判断させていただいています。抜歯が難しい場合やリスクが大きい場合は近くの大きい病院へ紹介させていただく場合もあります


