カテゴリー:
BLOGホワイトニング
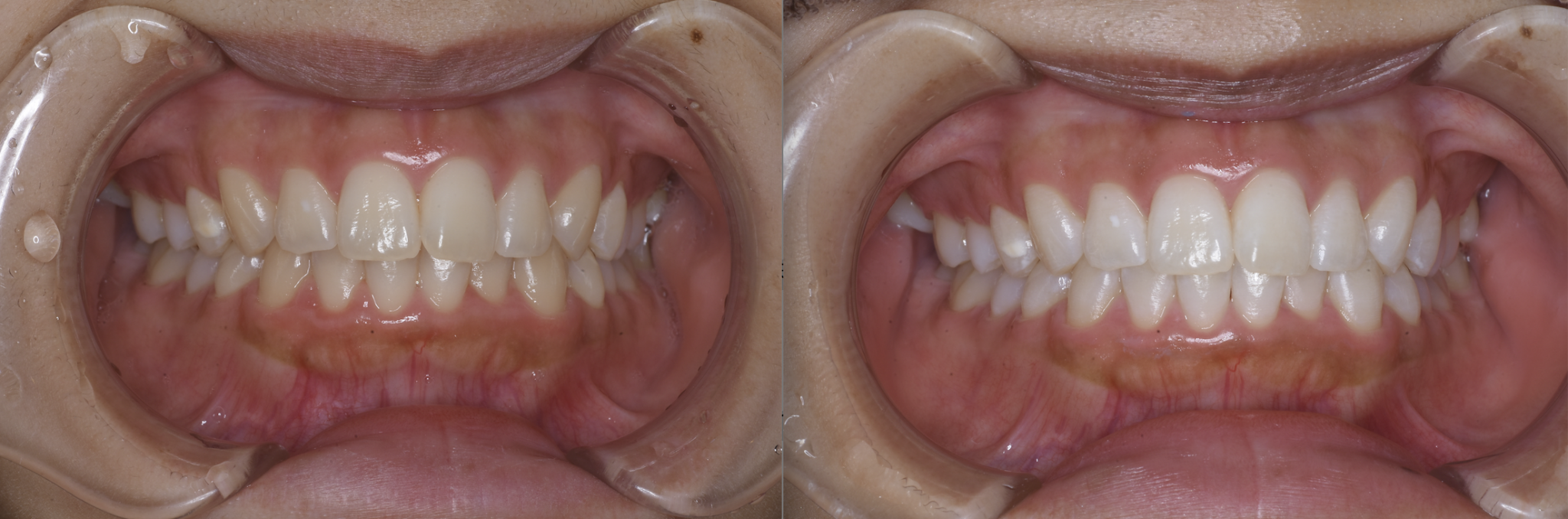
オフィスホワイトニングでの変化
皆さんこんにちは。
歯科衛生士の佐藤です。
今回はホワイトニングされた患者様のご紹介をさせていただきます。
20代の女性の方で、もっと歯を白くしたい!ということでホワイトニングをさせていただきました。
家でするホームホワイトニングと歯医者でするオフィスホワイトニング。どちらもご説明させていただいた上で、今回はオフィスホワイトニングを行いました。

これは術前の写真です。
元々そこまで黄ばみがある方ではないです。
当院のオフィスホワイトニングは2日間に分けて行っていきます。
1日目。

2日目。

特殊な薬液を使用することによって、本来の色より大分白さが増し、透明感のある綺麗な仕上がりになりました。

ホワイトニングのご相談なども受け付けておりますので、なにかありましたら『ひろた哲哉歯科』へどうぞ!


