カテゴリー:
【福岡市南区の歯医者が解説】歯を全部インプラントにしたい!そんな方に知ってほしい“全顎治療”の選択肢|ひろた哲哉歯科・矯正歯科

こんにちは、福岡市南区の歯医者【ひろた哲哉歯科・矯正歯科】スタッフです。
「歯がボロボロで噛めない」「人前で笑えない」「もう全部治したい」──そんな思いから、“歯を全部インプラントにしたい”と検索される方が増えています。
ですが実際には、「全部をインプラントにする」だけが正解ではありません。
私たちは、お口全体の噛み合わせ・骨・歯ぐき・審美性を再構築する“全顎治療(フルマウス治療)”として、患者様一人ひとりに最適な方法をご提案しています。
全顎治療(フルマウス治療)とは?
通常の歯科治療では歯を一本単位で治療しますが、全顎治療(フルマウス治療)はその名前の通り、全部の口を総括して治療する、総合的な治療です。欠損、歯並びの不正、機能的にも審美的にも高い結果を求めたい時に行われます。患者さまのお口の状態や要望によって、すべての歯をインプラントにせず、次のような方法を組み合わせて行います。
- ・All-on-4〜8:数本のインプラントで人工歯列を支える固定式治療
- ・インプラント+セラミッククラウン:必要な部分のみをインプラント化し、審美的に回復
- ・矯正+補綴(被せ物):歯並び・咬合を整えたうえで、残せる歯を活かす再建法
- ・金属床義歯+インプラント:重度歯周病や骨吸収が大きい場合に有効
つまり、「全部治す」=「全部インプラントにする」ではなく、
残せる歯・支えられる骨・噛み合わせの状態を精密に診断したうえで、
どの治療法をどう組み合わせるのが最も長持ちするかを考え抜く──それが本来の“全顎治療(フルマウス治療)”です。
まずは「どんな未来を目指すか」から始めましょう
全顎治療では、治療方法より先に「どんな口にしたいか」を決めることが大切です。
・しっかり噛めるようになりたい
・見た目を整えたい
・長持ちする治療にしたい
・極力歯を残したい、抜きたくない
・手術の負担を減らしたい
──患者さまごとに、目指すゴールは違います。
治療費や治療法は、まずゴールが明確になることで、気持ちにも負担なく納得しながら進むことができます。
ゴールの決め方は患者さまと二人三脚で

「まず相談だけでも大丈夫かな…」という方こそ、一度お話を聞かせてください。
いきなり治療を決める必要はありません。当院では患者さまにとって納得感のある治療ゴールを見つけるため、”シェアドディシジョンメイキング(共同意思決定)”という方法を採用しています。無理に治療を勧めることはいたしません。個室で行うので言いづらいこともご相談しやすい環境です。一緒に未来を描くところから始めましょう。
お口の中には、さまざまな専門領域があります

お口の健康は、外科・補綴・矯正・歯周・審美といった複数の専門が関わる総合医療です。
私たちは、グループ経営の強みを活かし、歯科医師・歯科技工士・歯科衛生士が連携する「インターディシプリナリーアプローチ(専門職連携)」を大切にしています。
院内およびグループ内には自社技工所があり、技工士が治療設計段階から関与します。
精密な補綴設計と審美性の高い仕上がりを、最短ルートで実現しています。
治療の流れ(一例)

- ① フルマウス検査(RAY-face、dexis、CTなど先進機器で顔つきのバランス、歯並び、虫歯の検査)
- ② グループ内の技工士と相談、ゴール設計をまず作成
- ③ 歯科医師が治療計画を立案
- ④ 患者さまへどんな治療をするかの提案・説明
- ⑤ 不要な歯の抜歯・仮義歯の装着
- ⑥ 矯正やインプラント埋入・仮歯で咬合安定
- ⑦ 最終補綴(セラミック・金属床義歯など)の装着
⑤〜⑦は患者さまのお悩みによって様々です。また、噛み合わせは、歯だけでなく「顔全体のバランス」も関係します。当院ではRAY-face等を用い、見た目と機能の両面から診断します。仮歯の段階でも見た目・咬合が整うため、日常生活に支障はほとんどありません。
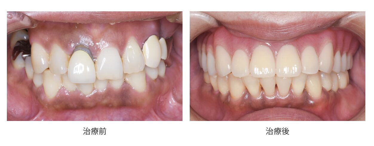
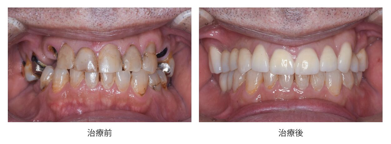
実際の症例紹介
症例①:上顎は入れ歯、下顎は矯正とインプラントのケース くわしくは画像をクリック!👇

症例②:矯正、インプラント、セラミック治療のケース くわしくは画像をクリック!👇

※治療は個人差があります。
福岡市南区における相場と当院の費用
福岡市南区周辺でのAll-on-4〜8の相場は、約300〜950万円(税込)です。(2025年10月現在)
ただし、矯正や補綴を組み合わせる全顎治療(フルマウス治療)では、内容によって費用が変動します。
なお、当院では、All-on-4〜8を330万円(税込)〜でご案内しています。
また、必要本数や素材、骨の状態に応じて明確な見積もりをお出しします。詳しくはご相談ください。
当院が選ばれる理由
- 理事長は日本顎咬合学会認定医:噛み合わせ再建と審美補綴の専門家
- CT×dexis×RAY-faceなど先進機器を使用した精密治療:リスクを3Dで把握
- 口腔外科・矯正・補綴のチーム医療:院内完結の総合診療
- グループ技工所連携:精密で美しい補綴設計
- 長期保証×メンテナンスプログラム:治療後もお口の中をサポート
- 地域密着・通いやすさ:老司マックスバリュ隣/駐車場完備/土曜診療あり





よくある誤解と本当のところ
Q. 全部インプラントにしないといけませんか?
A. いいえ。残せる歯があれば、矯正・補綴と組み合わせた方が
身体的負担も費用も少なくなる場合があります。
Q. すべて抜歯になるケースは珍しいですか?
A. はい。重度の歯周病や崩壊が進んだ場合を除き、歯を保存する方針で検討します。
Q. 仮歯では見た目が不自然になりますか?
A. ご安心ください。仮歯の段階から見た目と噛み合わせの調整を行います。
Q. 高額治療を無理に勧められませんか?
A. 無理なご提案は行いません。複数プランをご提示し、患者さま自身の判断を大切にしています。
Q. 相談だけでも来院していいですか?
A. もちろんです。まずは状態を知ることがスタートです。
「比較したい」「情報整理したい」という段階でもご相談ください。
「どの治療が自分に合うのかわからない」──そんな方こそ、一度ご相談ください。
歯を残す・抜く・インプラントにする…すべての選択肢を検査から導き出します。
“全部治したい”という気持ちは、決して遅くありません。
あなたのお口に合った“これからの人生を支える治療”を一緒に考えていきましょう。
カウンセリング・アクセス案内
CT検査をもとに、費用・期間・治療方法を丁寧にご説明いたします。
「まだ決められない」「自分の歯がどうなるのかが心配」──そんな方こそ大歓迎です。
最初は「情報収集だけ」でかまいません。一緒に整理していきましょう。
ひろた哲哉歯科・矯正歯科からの約束
・無理な治療提案はしません
・複数プランをご提示します
・費用と期間は事前に明確にお伝えします
・その場で決めなくて大丈夫です
📍 福岡市南区 老司マックスバリュ隣・駐車場完備
お気軽にご相談ください!
お口のことでお悩みがある方はぜひお気軽にご相談ください!
診療の関係上、ご予約が必要となりますので、希望日時をお知らせください。
Instagramで院内の様子を発信しています😊くわしくは画像をタップ!🌼


━━━━━━━━━━━ 監修 廣田 哲哉 Hirota Tetsuya ━━━━━━━━━━━
-
経歴
- 2009年3月
九州歯科大学 歯学部 歯学科 卒業 - 2009年4月~2010年3月
九州歯科大学口腔第二補綴学講座 口腔インプラント科 研修 - 2010年4月~2013年3月
ひぐちファミリー歯科 勤務 - 2014年4月
ひろた哲哉歯科 開業 - 2022年1月
THREE歯科・矯正歯科 開業
- 2009年3月
-
所属団体
- 日本顎咬合学会 認定医
- 日本審美歯科協会
- 福岡県歯科医師会
- 福岡市歯科医師会
- 北九州市学研究会若手会
- ClubGP Faculty Member(2021年~)
博多駅から車で約20分!大型駐車場完備🚗



