カテゴリー:
お知らせ
お子さんのお口元良くみたことはありますか?
みなさんこんにちは✨
歯科衛生士の荒武です。
最近すっかり寒くなってきましたね!あと2週間で年末年始に差し掛かりますが、みなさん今年やり残したことはないですか?
私はまだ大掃除を始めていないので、なんとか今年中にはスッキリして新年を迎える準備を整えようと思っています😅
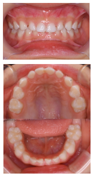
さてタイトルの通りみなさんお子さんのお口元はよくみたことはありますか?

一見綺麗に並んでいるように見えますよね?
実際今の所凸凹もしてないですし、問題なさそうに見えますが
これからが要注意なのです!
乳歯は本来歯と歯の間に隙間があることで永久歯の生え変わりをスムーズにします。

このように少しずつ隙間があることで永久歯への生え変わりをスムーズにしますよ!
なかなか気づきにくいところなので、仕上げみがきの時によく観察してみてくださいね😊


