カテゴリー:
BLOG
矯正ブログ!第2弾です!!!
皆様こんばんは^ ^山本です!
前回に引き続き矯正ブログです、、。

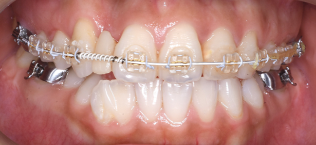
先月までは上の歯だけにワイヤーが付いてたのですが、、
今回はなんと!!下の歯にもワイヤーがつきました( ´ ▽ ` )ノ
写真は同期のスタッフに撮ってもらいました!!!
どんどん動いてますよーー!!

少し恥ずかしいですが´д` ;2017、11月〜現在の口腔内写真です。
私も患者様と一緒に矯正頑張ってます!!
ひろた哲哉歯科では月に2回矯正の先生が来られるので、、
ぜひ!!!気になる方はご相談くださいo(`ω´ )o
福岡市南区 歯医者 ひろた哲哉歯科


