カテゴリー:
BLOG
院長先生学会発表
こんにちは。歯科医師のHです。
つい先日のことですが院長先生が神戸で行われた日本包括歯科臨床学会にて発表しました。
『健康長寿を目指して』という演題で総義歯治療をテーマに患者さんが満足する噛み合わせについての発表です。


院長先生の発表風景です

発表内容の一部紹介です。
この患者さんは骨が局所的にかなり吸収しています。このまま一般的な治療で作られた義歯で患者さんが審美的にも機能的にも満足し、しっかり噛めるようになるのは極めて困難です。
ゴシックアーチ描記板 顎の動きを探るための特殊な装置です。

入れ歯の作製風景です。当院では歯科用CTを用いて患者さんの口の中だけでなく、顎や頭蓋に適した入れ歯を作製することができます。


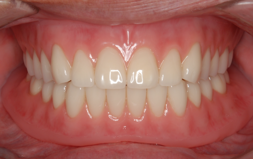
義歯の完成です。機能的,審美的要件を満たし, 本来の患者さんの噛み合わせを変化させずに長期的に安定し患者さん自身が快適でかつ十分に満足できるものに仕上がっています。
入れ歯でお悩みの方、うまく噛めないと感じる方、義歯を本物の歯のように綺麗に作って欲しいという方、是非当院へお越しください。スタッフ一同お待ちしております。
福岡市南区老司の歯科 ひろた哲哉歯科


